Diastema, czyli przerwa między zębami - jak ją usunąć? Likwidacja diastemy

Diastema, czyli przerwa między zębami - górnymi jedynkami, może być problemem nie tylko natury estetycznej. Diastema może doprowadzić do problemów z mową, wad zgryzu i chorób przyzębia. W związku z tym w niektórych przypadkach likwidacja diastemy może okazać się konieczna. Sprawdź, jak się pozbyć diastemy.

Diastema , czyli  przerwa między zębami  - górnymi jedynkami, może być problemem nie tylko natury estetycznej. Sprawdź,  jak się pozbyć diastemy .

i

Autor: Thinkstockphotos.com/ Archiwum prywatne Diastema , czyli  przerwa między zębami - górnymi jedynkami, może być problemem nie tylko natury estetycznej. Sprawdź,  jak się pozbyć diastemy .

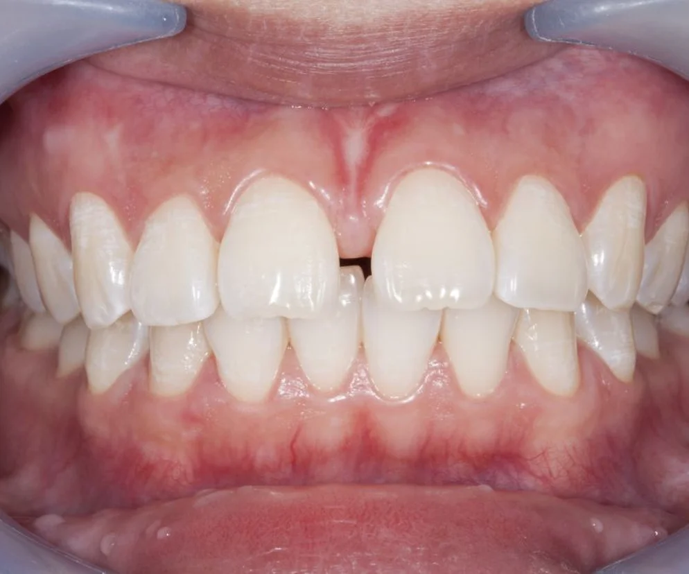
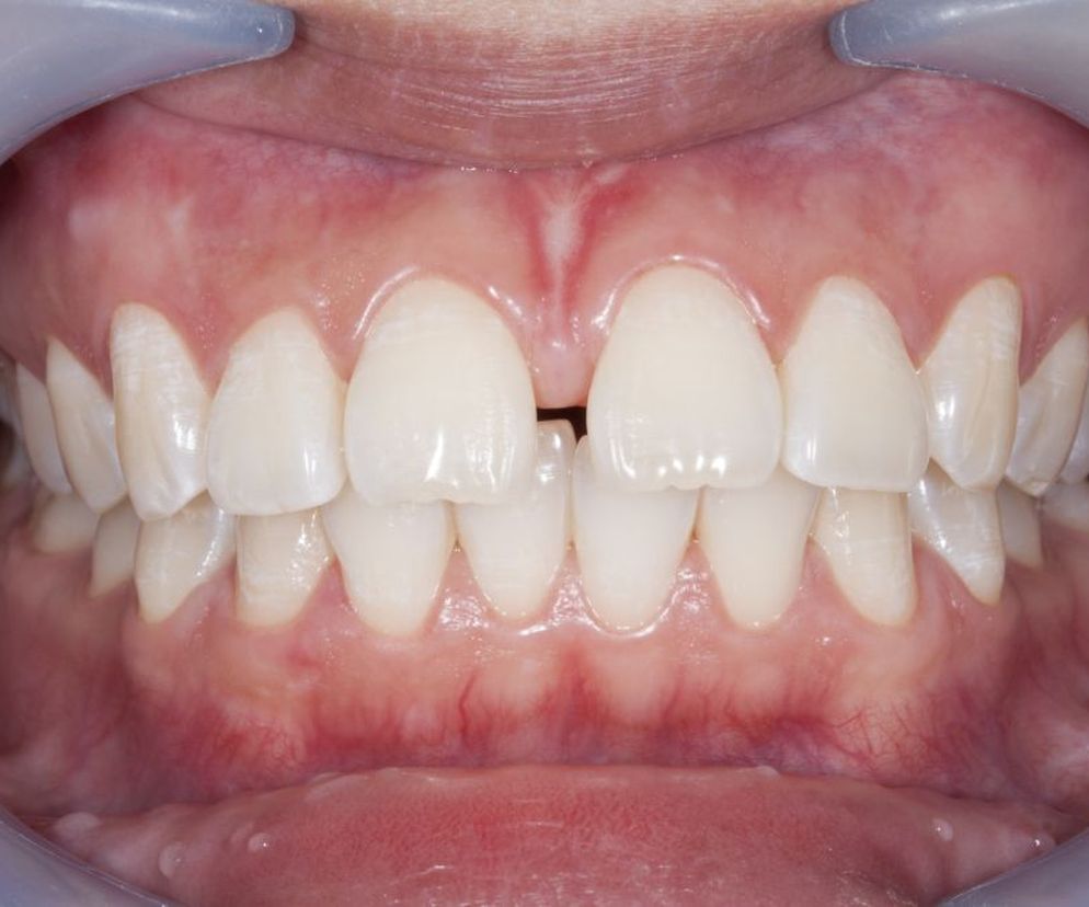
Diastema to przerwa między zębami siecznymi przyśrodkowymi, czyli przerwa między górnymi jedynkami. Diastema nie zawsze jest wadą zgryzu - staje się nią dopiero wtedy, kiedy szpara między zębami przekracza 2 mm. W pozostałych przypadkach jest to po prostu cecha uzębienia, która nie wymaga leczenia.

Wyróżnia się kilka rodzajów diastemy. Gdy rozsunięte jedynki są ustawione równolegle, mowa o diastemie równoległej. Jeśli dolne końcówki zębów są skierowane do siebie, wskazuje to na diastemę zbieżną. Z kolei górne końcówki zębów skierowane od siebie oznaczają diastemę rozbieżną.

Diastema (przerwa między zębami) - przyczyny

W zależności od przyczyn, wyróżnia się diastemę:

  • prawdziwą – jest wynikiem przerostu lub niskiego przyczepu wędzidełka wargi górnej;
  • rzekomą – spowodowana jest hipodoncją (brakiem) siekaczy bocznych, ich zmniejszonym rozmiarem lub zębami nadliczbowymi (hiperdoncja);
  • fizjologiczną – obserwowaną w okresie przed wyrznięciem się zębów siecznych bocznych stałych. Pojawia się pomiędzy 7. a 9. rokiem życia i zwykle ma nie więcej niż 2 mm;

Diastema (przerwa między zębami) - leczenie. Jak usunąć diastemę?

W przypadku diastemy prawdziwej podcina się wędzidełko. Wskazane jest także noszenie aparatu ortodontycznego.

Leczenie diastemy równoległej zależy od szerokości szpary między zębami (zamyka się tylko tę powyżej 2 mm) i wieku osoby.

W przypadku diastemy zbieżnej konieczne jest noszenie aparatu ortodontycznego stałego, z kolei rozbieżną leczy się za pomocą aparatu zdejmowanego. Metody leczenie z wykorzystaniem aparatu ruchomego dotyczą prawie wyłącznie pacjentów rosnących, pacjenci dorośli w większości przypadków wymagają leczenia aparatami stałymi.

Jeśli diastema rzekoma jest wynikiem braku zębów, stosuje się implanty. W przypadku zęba nadliczbowego wykonuje się ekstrakcję (wyrwanie zęba) i zsuwa się jedynki płytą akrylową ze skręcaną śrubą lub odpowiednio zlokalizowanymi sprężynkami międzyzębowymi (diastema równoległa i rozbieżna) lub aparatem stałym (zbieżna).

Leczenia nie wymaga jedynie diastema fizjologiczna, gdyż zamyka się samoistnie.

Ważne

Diastema - problem nie tylko estetyczny

Diastema może doprowadzić do problemów z mową - często jest przyczyną seplenienia świszczącego, które charakteryzuje bardzo ostre, świszczące brzmienie głosek dentalizowanych (m.in. ś, ź, ć, dź; s, z). Ponadto może przyczynić się do rozwoju wad zgryzu i chorób przyzębia.

Diastema (przerwa między zębami) - jak jeszcze można się jej pozbyć?

Aparat ortodontyczny jest najskuteczniejszym sposobem na pozbycie się diastemy, jednak trzeba go nosić długo (nawet ponad rok). Dla osób, które nie chcą czekać, alternatywną może być zamykanie diastemy za pomocą licówek. Zabieg polega na naklejeniu cienkich, mających ok. 0,5 mm, porcelanowych płytek na zęby, które zostały uprzednio zeszlifowane.

Jednak najszybszą i, co równie ważne, odwracalną metodą na pozbycie się diastemy jest bonding, czyli zamaskowanie przerwy między zębami za pomocą kompozytu. W tym przypadku likwidacja diastemy przypomina zakładanie plomby: najpierw wytrawia się ząb specjalnym kwasem demineralizującym, a następnie nakłada materiał kompozytowy i papierowymi dyskami nadaje mu się kształt.

Efekt uzyskuje się podczas jednej wizyty. Jednak ta metoda zamykania diastemy jest mniej trwała niż zakładanie licówek, które mogą służyć nawet 15 lat.

Czytaj też: