Rentgen (RTG) klatki piersiowej - jak wygląda? Przygotowanie do badania

2021-11-24 13:05

Rentgen (RTG, prześwietlenie) klatki piersiowej to badanie radiologiczne. Badanie rtg służy do oglądania płuc i dróg oddechowych. Sprawdź, jak wygląda przygotowanie do badania RTG klatki piersiowej i na czym ono polega.

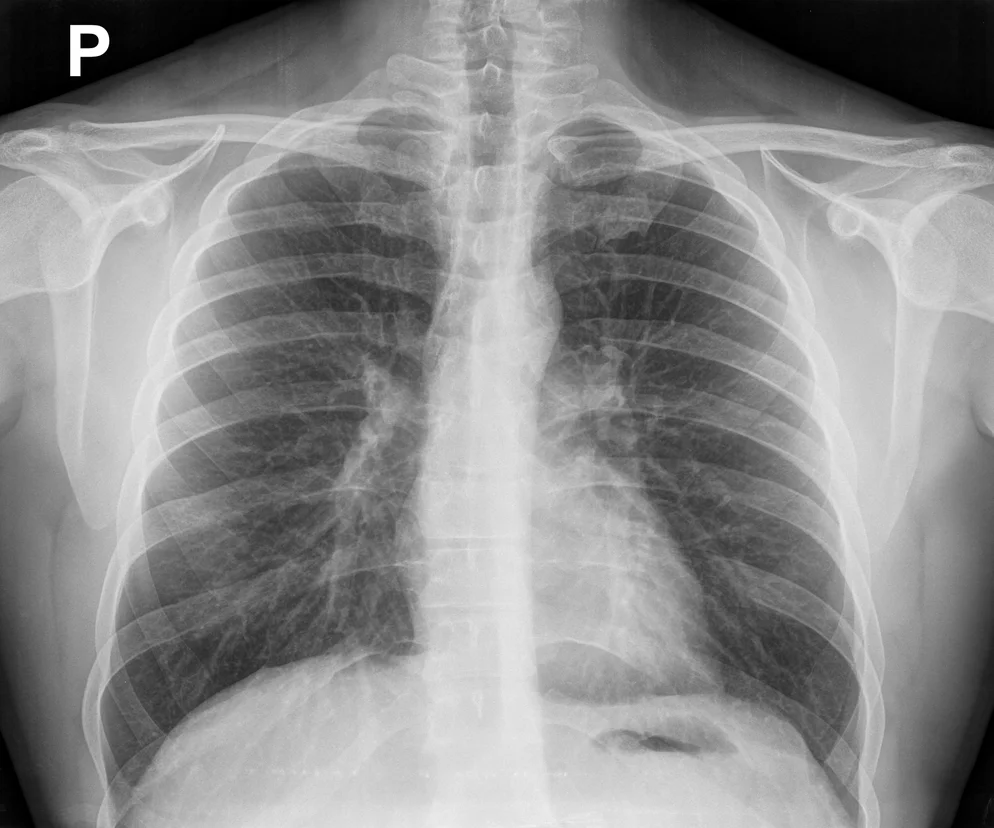
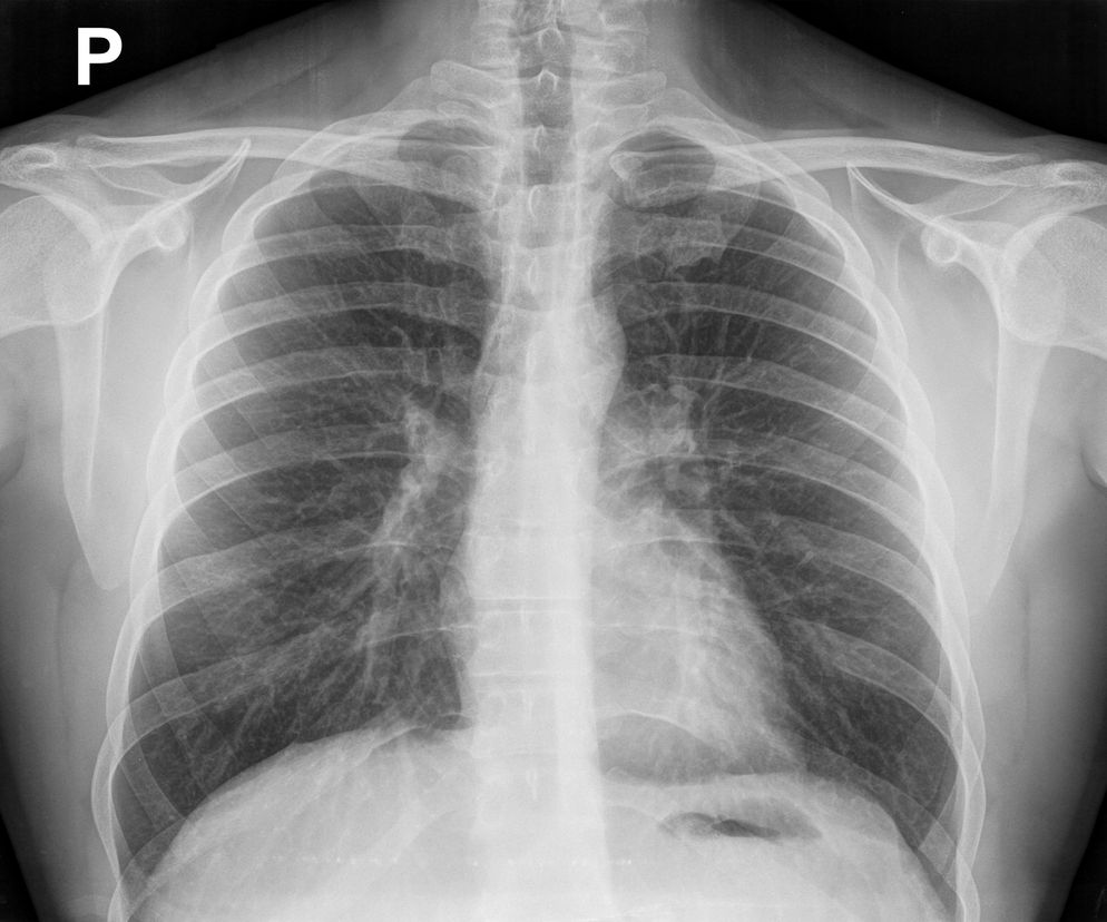
rentgen klatki piersiowej

i

Autor: Getty Images
Przyczyny bólu w klatce piersiowej

Rentgen (RTG) klatki piersiowej oznacza prześwietlenie klatki piersiowej promieniami rentgenowskimi.

Rentgen (RTG) klatki piersiowej - wskazania

Rentgen (RTG) klatki piersiowej jest pomocny w diagnozie takich chorób płuc, jak zapalenie płuc, gruźlica, guzy płuc, rozedma płuc, wydolność układu krążenia.

Służy także do oceny wielkości serca i aorty, płynu w jamach opłucnowych, zamostkowego wola tarczycy czy powiększonych węzłów chłonnych śródpiersia.

Na RTG klatki piersiowej trzeba mieć skierowania do lekarza.

RTG klatki piersiowej powinno być wykonane, gdy pacjenta męczą duszności, skarży się on na długo utrzymujący się kaszel lub czuje bólu w klatce piersiowej. Wskazaniem do RTG klatki piersiowej jest także urazu w jej obrębie.

Należy ono do standardowych badań okresowych (np. do pracy).

RTG klatki piersiowej: przygotowanie

Badanie RTG klatki piersiowej przeprowadza się bez specjalnego przygotowania.

RTG klatki piersiowej a ciąża

U kobiet w ciąży nie wykonuje się RTG klatki piersiowej, ze względu na możliwość uszkodzenia płodu. Jeśli jednak takie badanie jest konieczne, stosuje się odpowiednie środki bezpieczeństwa chroniące płód przed ekspozycją na promieniowanie.

RTG klatki piersiowej: na czym polega?

Przed badaniem RTG klatki piersiowej trzeba rozebrać się do pasa oraz zdjąć wszelkie elementy metalowe (biżuteria, pasek od spodni itp.) Następnie należy podnieść ręce do góry, stanąć przodem do specjalnej płyty (która w jakości cyfrowej rejestruje obraz radiologiczny), nabrać pełny wdech i zatrzymać oddech na kilka chwil.

Przed wykonaniem badania pacjent może poprosić o nałożenie ołowianego fartucha chroniącego okolicę miednicy (zaleca się to szczególnie u kobiet) oraz szyi (ochrona tarczycy).